0000 000 0000
What We Do
Ethos
Actions & Opportunities
Objectives
About Us
Trustees
Associates
Awards
Sponsors
Legal Status
Ear Camps
Ear Hospital
Ear Hospital Concept
Medical Charity Reports
Nepal/नेपाल
Useful Links
Ear Centre
Treatments Available
Outpatients
Hearing Aids
Surgery
Clinic Times
Community Ear Care + Reports
Media Reviews
Patients Stories
Training
Medical Records
Education
Bursaries
About the Ear
Teaching Images
Clinical Videos
Surgical Videos
Presentations
Publications
WHO Teaching Texts PDF’s
Research & Ethics Approval
Patient Information
Clinical Protocols
Volunteering
How to Volunteer
Information
Cost Money Matters
Visa Requirements
Medical Council Regn
Travel
Accommodation
Climate
Nepali Language
Politics & Security
Equipment Needs
Culture & Health
Vaccinations
Activities
Volunteer Experiences
Audiology
Students
Gallery
People
Videos
Pokhara Touring
Cochlear Implants
Covid-19 Preps
Team Photos
Miscellaneous
Ear Centre
Opening Ceremony
Building
Hospital Photo Gallery
News
Contact
Donate
Perforation
breadcrumb
Menu
Bursaries
About the Ear
Surgical Videos
Clinical Videos
Presentations
Teaching Images
Atelectasis/Retraction
Audiometry
Caloric Test
Cholesteatoma Diagrams
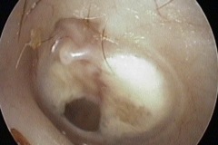
Cholesteatoma Clinical
Cochlear Implant
Congenital
Congenital Sinus
CSOM
Cyst, pinna
Ear Anatomy
Ear Canal
Ear Surgery
Equipment
Face
Facial Nerve
Glue Ear
Grafts
Granulations
Grommet/Vent Tubes
Hearing Loss/Deafness
Hearing Aids
Infection, pinna
Inner ear
Jewellery
Keloid
Leprosy
Lumps near Pinna
Mastoid
Mastoid Cavity
Mastoidectomy
Middle Ear
Mouth
Neoplastic/tumour
Nose
Ossicles
Ossicle Prostheses
Otitis Externa
Otitis media
Otosclerosis
Parotid Gland
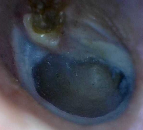
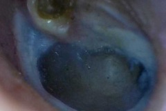
Perforation
Pinna
Postaural Fistula
Preauricular sinus
Salivary
Scans
Surgical instruments
Syndromes
Thyroid
Trauma
Tympanic Membrane
Wax
Post-auricular abscess
WHO Teaching Texts PDF’s
Research & Ethics Approval
Publications
Patient Information
Clinical Protocols
1
2
3
►